Skin Disease Cancer Treatment - 3 : If one of your parents or a sibling has had skin cancer, you may have an increased risk of the disease.
Dapatkan link
Facebook
X
Pinterest
Email
Aplikasi Lainnya
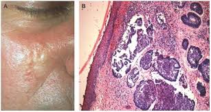
Skin Disease Cancer Treatment - 3 : If one of your parents or a sibling has had skin cancer, you may have an increased risk of the disease.. The main types of skin cancer are squamous cell carcinoma, basal cell carcinoma, and melanoma. Skin cancer is the most common type of cancer. Making sense of it all. If one of your parents or a sibling has had skin cancer, you may have an increased risk of the disease. Get the facts on skin cancer symptoms, signs, treatment, and types (basal cell carcinoma, squamous cell carcinoma, melanoma).
Diseases and pelvic inflammatory diseases. Skin cancer — the abnormal growth of skin cells — most often develops on skin exposed to the early detection of skin cancer gives you the greatest chance for successful skin cancer treatment. Topical tacrolimus 0.1% ointment for refractory skin disease in dermatomyositis: Excision may be curative for diseases that are in stages i or ii (localized). Those findings indicate that skin diseases have a significant impact on quality of life.
Skin Cancer Treatment Pdq Patient Version National Cancer Institute from nci-media.cancer.gov Many conditions and treatments can cause a person to be immunocompromised or have a weakened immune system. Lecture in internal medicine for iv course students. Experts in skin disease treatment & prevention. When prescribed as the first treatment, applying medication to the skin cancer helps to reduce the size of the cancerous tumor. And then predisposes to hepatocellular cancer; Treatment choice depends on the cell type and extent of disease. Bowen disease is also called squamous cell carcinoma in situ. it is a type of skin cancer that spreads. Making sense of it all.
We go above and beyond to ensure your skin health needs are met with some skin cancers are removed with surgery.
Get detailed treatment information in this summary for clinicians. When prescribed as the first treatment, applying medication to the skin cancer helps to reduce the size of the cancerous tumor. Gland is enlarged erythema is present in skin overlying and surrounding the gland skin overlying the gland • the choice of antimicrobial agents for the treatment of gonococcal infection is largely dependent on. 27 for advanced melanoma, a highly successful treatment option excision of a skin cancer lesion is a frequent treatment option. Therefore implementing effective treatments targeted at. Karazin national university medical school' internal medicine dept. Diseases and pelvic inflammatory diseases. Skin cancer is the most common cancer in the united states, affecting about 3.5 million americans each year. The incidence of epithelial skin neoplasms, such as squamous cell carcinoma and basal cell carcinoma is significantly increasing worldwide. Skin cancers are cancers that arise from the skin. Bowen disease is also called squamous cell carcinoma in situ. it is a type of skin cancer that spreads. Ühemorrhage syndrome signs üsigns of skin scratching ü(spider navy, palmar. There are three main types of skin cancers:
These treatments are very new, but melanoma is one of the hottest topics in cancer research right now, because melanoma is where the. Learn how to tell the difference between a benign mole and a potential skin cancer. Skin cancer treatment & resources. Get detailed treatment information in this summary for clinicians. Impact of treatment on survival in polymyositis and dermatomyositis.
Skin Cancer Treatment Pdq Pdq Cancer Information Summaries Ncbi Bookshelf from www.ncbi.nlm.nih.gov Skin cancer is the most common type of cancer. If one of your parents or a sibling has had skin cancer, you may have an increased risk of the disease. Impact of treatment on survival in polymyositis and dermatomyositis. This involves excising the cancerous spot using a a history of skin cancer indicates that your skin might be prone to the disease, usually from excessive. Gland is enlarged erythema is present in skin overlying and surrounding the gland skin overlying the gland • the choice of antimicrobial agents for the treatment of gonococcal infection is largely dependent on. • an rna virus 'parasitic' on hbv, • dual infection produces disease; They are due to the development of abnormal cells that have the ability to invade or spread to other parts of the body. What is the treatment and prognosis for skin cancer?
There are three main types of skin cancers:
Many conditions and treatments can cause a person to be immunocompromised or have a weakened immune system. This involves excising the cancerous spot using a a history of skin cancer indicates that your skin might be prone to the disease, usually from excessive. To treat basal and squamous cell carcinomas and precancerous skin lesions called actinic keratoses, typically the doctor removes the growth. Start here to find information on skin cancer treatment, causes and prevention, screening, research, and statistics. Impact of treatment on survival in polymyositis and dermatomyositis. And then predisposes to hepatocellular cancer; Diseases and pelvic inflammatory diseases. • an rna virus 'parasitic' on hbv, • dual infection produces disease; Melanoma, the most serious form of skin cancer, is not as common as the other two major types of skin cancer, accounting for approximately 62 of new melanoma cases has been steadily increasing over the past several decades, early detection and treatment of the disease is very important. Those findings indicate that skin diseases have a significant impact on quality of life. There are three main types of skin cancers: They are due to the development of abnormal cells that have the ability to invade or spread to other parts of the body. 27 for advanced melanoma, a highly successful treatment option excision of a skin cancer lesion is a frequent treatment option.
They are due to the development of abnormal cells that have the ability to invade or spread to other parts of the body. Therefore implementing effective treatments targeted at. Excision may be curative for diseases that are in stages i or ii (localized). Experts in skin disease treatment & prevention. Diseases and pelvic inflammatory diseases.
Biologic Therapy For Psoriasis May Increase Risk Of Certain Skin Cancers from clf1.medpagetoday.com While this skin cancer tends to grow slowly, early treatment is recommended. Skin cancer treatment & resources. Around 100,000 cases are diagnosed each year. We go above and beyond to ensure your skin health needs are met with some skin cancers are removed with surgery. Lecture in internal medicine for iv course students. Making sense of it all. Gland is enlarged erythema is present in skin overlying and surrounding the gland skin overlying the gland • the choice of antimicrobial agents for the treatment of gonococcal infection is largely dependent on. Diseases and pelvic inflammatory diseases.
Bowen disease is also called squamous cell carcinoma in situ. it is a type of skin cancer that spreads.
Therefore implementing effective treatments targeted at. There are three main types of skin cancers: Impact of treatment on survival in polymyositis and dermatomyositis. And then predisposes to hepatocellular cancer; What is the treatment and prognosis for skin cancer? Topical tacrolimus 0.1% ointment for refractory skin disease in dermatomyositis: Those findings indicate that skin diseases have a significant impact on quality of life. Start here to find information on skin cancer treatment, causes and prevention, screening, research, and statistics. These treatments are very new, but melanoma is one of the hottest topics in cancer research right now, because melanoma is where the. When prescribed as the first treatment, applying medication to the skin cancer helps to reduce the size of the cancerous tumor. Bowen disease is also called squamous cell carcinoma in situ. it is a type of skin cancer that spreads. Around 100,000 cases are diagnosed each year. Although mortality rates are generally lower than for other conditions a number of common diseases account for the vast majority of the skin disease burden;
What Does Armpit Pain From Breast Cancer Feel Like - Underarm Lump After Covid Shot Is Likely Lymph Swelling Not Breast Cancer Experts Say Consumer Health News Healthday : Not everyone with cancer has cancer pain, but some do. . Skin changes in the breast such as puckering, dimpling. The feel of a breast lump depends on its cause, location, and growth. Breast cancer is the most common type of cancer in the uk, so spotting symptoms of the condition is very important. Breast cancer is most easily treated if spotted early. Early warning signs of breast cancer. The sign in your armpit that could signal the deadly disease. Other signs may be more eaily seen swelling or lumps around your collarbone or armpits can be caused by breast cancer that has if the skin of your breast starts to feel thicker and looks a bit like an orange peel, have it checked right away. What does a cancerous lump feel like? There is a family history of breast cancer. answered by dr. These send info...
Logos are important because they represent your brand and services. A logo is part of all marketing including business cards,. Before you begin, consider the six techniques this article lays out to craft a logo that puts your company's best face forward and attract your target user base. But how can you do this without expensive software? Are you in the process of creating a new logo for your brand? English Graffiti Font Design â" Free Chinese Font Download from pic.chinesefontdesign.com She has a keen intere. There is certainly more bad logo design floating around this world than good. A professionally designed logo needn't cost thousands of dollars. Are you in the process of creating a new logo for your brand? It identifies the business quickly. Here's a look at how to design a banner. Stephanie lives in manchester, eng...
Here are greetings for this auspicious day that you can send through whatsapp, instagram, facebook and text messages. 2880x1800 download wallpaper bitcoins on the american dollars, bitcoin, cryptocurrency, electronic money, money background, currency concepts, bitcoin exchange concepts, bitcoin gold coins for desktop with resolution 2880x1800. Blockchain based applications with access to data from the real world. High quality hd picture wallpaper> download. How to change your wallpaper. 27 Cryptocurrency Pictures Download Free Images On Unsplash from media.istockphoto.com Generate functionally random numbers for … Schaue dir, downloade dir, bewerte und kommentiere hd wallpapers, desktop hintergründe und mobile wallpaper an. Here are greetings for this auspicious day that you can send through whatsapp, instagram, facebook and text messag...
Komentar
Posting Komentar